Benarkah Novel End of Day's Meramalkan Virus Corona di 2020?
Eramuslim.com - Di tengah pandemi virus corona, sebuah buku berjudul ‘End of Days’ viral di media sosial. Buku yang ditulis pada tahun 2008 itu...
Baca selengkapnya →
Eramuslim.com - Di tengah pandemi virus corona, sebuah buku berjudul ‘End of Days’ viral di media sosial. Buku yang ditulis pada tahun 2008 itu...
Baca selengkapnya →
Eramuslim.com -Organisasi Kesehatan Dunia (WHO) resmi mengumumkan wabah Corona sebagai pandemik. Artinya penyebaran virus sudah masif di seluruh...
Baca selengkapnya →
Eramuslim.com -Hingga kini, virus corona COVID-19 telah menyebabkan 5.720 kematian di seluruh dunia. Tercatat sudah ada 152.428 kasus positif...
Baca selengkapnya →
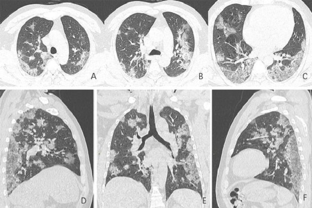
Eramuslim.com - CT scan dan rontgen paru-paru para pengidap virus corona baru, COVID-19, telah diambil setelah mereka ambruk dengan gejala demam dan...
Baca selengkapnya →
Eramuslim - NABI Muhammad shallallahu 'alaihi wa sallam adalah pemimpin yang begitu diteladani. Rasulullah selalu mengajarkan hal-hal mudah dalam...
Baca selengkapnya →
Eramuslim - Saat ini, penyebaran virus Corona COVID-19 telah mencapai lebih dari 116 ribu kasus baru secara global dengan lebih dari 4 ribu kematian....
Baca selengkapnya →
Eramuslim.com - Virus Corona telah meluas hingga ke Jakarta dan pasien suspect Corona ada yang meninggal di Jawa Barat. Merujuk pengalaman Amerika...
Baca selengkapnya →
Eramuslim.com - Berbicara tentang akhir zaman terkait motivasi Al Qur’an Surat An Nazi’at ayat 42-45 sebagai berikut. يَسْأَلُونَكَ عَنِ السَّاعَةِ...
Baca selengkapnya →
Eramuslim - Berbagai peristiwa terjadi di berbagai belahan dunia pada 4 Maret. Beberapa di antaranya terkait dengan sejarah perkembangan Islam....
Baca selengkapnya →
Eramuslim.com -FIX! Indonesia tak lagi zero case Corona. Dua warga Depok positif terinfeksi Corona. Presiden Jokowi mengumumkan hari ini didampingi...
Baca selengkapnya →