Penampakan Mengerikan Paru-paru Para Korban Virus Corona
Eramuslim.com - CT scan dan rontgen paru-paru para pengidap virus corona baru, COVID-19, telah diambil setelah mereka ambruk dengan gejala demam dan batuk. Paru-paru mereka menunjukkan pola kelainan yang mirip dengan korban SARS dan MERS.
Foto-foto yang diambil dengan x-ray memperlihatkan kondisi paru-paru para korban mengalami kerusakan mengerikan karena "digerogoti" virus yang berpotensi mematikan tersebut.

Pemindaian yang menunjukkan bercak di paru-paru dan temuan lain dari para ahli dapat mengarah pada diagnosis yang lebih cepat dan membantu mencegah infeksi COVID-19.
![]() |
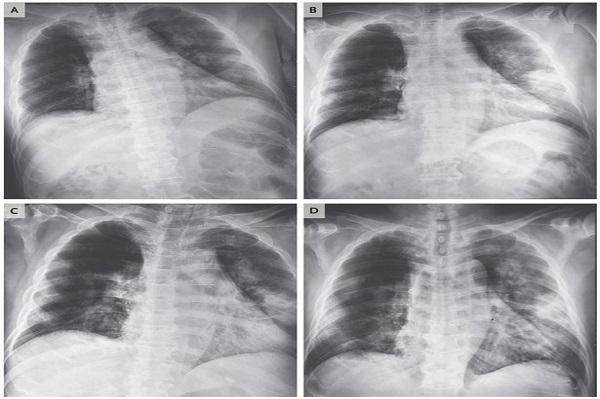
| Foto paru-paru wanita Inggris berusia 54 tahun yang terinfeksi COVID-19. Foto/RSNA |
Orang Inggris pertama yang terifeksi COVID-19 telah mengatakan bagaimana penyakit itu menimpanya seperti "kereta api" dan membuatnya seperti "mati lemas" serta kesakitan selama beberapa minggu. Dia adalah seorang wanita berusia 54 tahun yang dites positif terinfeksi virus corona baru setelah mengunjungi Wuhan, China. Hasil CT scan menunjukkan ada bercak putih di paru-parunya.
Kelainan seperti itu dikenal sebagai ground glass opacity atau cairan di ruang-ruang di paru-paru, dan kondisi itu menjadi lebih jelas ketika di-scan lebih lanjut. Wanita itu dirawat di rumah sakit setelah demam selama seminggu, sakit batuk, kelelahan dan dada seperti tersumbat.
Dia didiagnosis menderita pneumonia COVID-19 yang parah dan diobati dengan oksigen dan antibiotik.
Dalam kasus lain, seorang pria berusia 44 tahun yang bekerja di pasar makanan laut Wuhan, China, pergi ke rumah sakit setelah menderita demam tinggi dan batuk selama hampir dua minggu pada 25 Desember lalu tahun. CT scan dada menunjukkan bercak yang sama dan scan yang dilakukan lebih lanjut menunjukkan bagaimana kekeruhan pada paru-parunya menyebar.
Pria itu didiagnosis menderita pneumonia berat dan sindrom gangguan pernapasan akut, tetapi dia meninggal seminggu kemudian.
![]() |
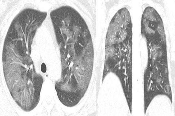
| Foto paru-paru pria Vietnam yang terinfeksi COVID-19. Foto/RSNA |
Ada juga seorang wanita berusia 45 tahun dari Provinsi Sichuan, China, didiagnosis terinfeksi COVID-19 setelah kembali dari Jepang dan menderita demam, batuk, dan nyeri dada. Menurut jurnal medis Radiology, ada bercak putih yang meluas ketika dilakukan pemindaian dada dan terdapat "tanda halo terbalik" terlihat di lobus kiri atas.
Sebuah studi baru-baru ini terhadap lebih dari 1.000 pasien, yang diterbitkan Radiology, menemukan bahwa CT scan dada lebih baik daripada tes laboratorium dalam mendiagnosis virus corona pada tahap awal.
Para peneliti menyimpulkan bahwa CT scan harus menjadi metode skrining primer.
Di Amerika Serikat (AS), dokter-dokter di Rumah Sakit Mount Sinai di New York City adalah yang pertama di Amerika yang menganalisis CT scan penderita COVID-19. Para dokter mengatakan mereka mengidentifikasi pola khusus pada paru-paru dari puluhan pasien yang dirawat di rumah sakit di China pada puncak epidemi di sana.
Ground glass opacity menjadi lebih padat dari waktu ke waktu, dan polanya mirip dengan yang ditemukan pada pasien yang terpapar SARS atau pun MERS.
Di Inggris sudah tercatat 590 kasus COVID-19 dengan 10 orang meninggal. Rata-rata pasien berusia di atas 60 tahun dan memiliki kondisi kesehatan yang mendasarinya.
Warga Inggris pertama yang meninggal oleh COVID-19 adalah seorang pria yang terpapar virus tersebut di kapal pesiar Diamond Princess yang dikarantina di Jepang.
Seorang pria Inggris lainnya bernama Connor Reed, 25, berbagi cerita tentang apa yang dia rasakan setelah terinfeksi COVID-19 di Wuhan, tempat dia bekerja sebagai guru bahasa Inggris. Reed, yang berasal dari Llandudno, North Wales, mengatakan dia takut mati setelah merasa tubuhnya seperti "mati lemas" dan paru-parunya terdengar seperti "kantong kertas diremas-remas".
Dia dirawat di rumah sakit dan beberapa minggu kemudian dinyatakan positif virus corona baru ketika penyakitnya menyebar dan diidentifikasi di China.
Departemen Kesehatan Inggris mengatakan di situs webnya; "Gejala khas virus corona termasuk demam dan batuk yang dapat berkembang menjadi pneumonia berat yang menyebabkan sesak napas dan kesulitan bernafas."
"Secara umum, virus dapat menyebabkan gejala yang lebih parah pada orang dengan sistem kekebalan yang melemah, orang tua, dan orang dengan kondisi penyakit jangka panjang seperti diabetes, kanker dan penyakit paru-paru kronis," lanjut departemen tersebut, seperti dikutip Mirror, Kamis (12/3/2020).(*end)

